At Grand Avenue Family Dental in Surprise, Arizona, we take gum health seriously. When plaque and tartar build up below the gumline, it can lead to inflammation, infection, and the early stages of gum disease (gingivitis or periodontitis). A routine cleaning may not be enough to remove this buildup — that’s where deep cleaning, also known as scaling and root planing (SRP), comes in.

What Is a Deep Cleaning?

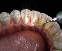
A deep cleaning is a specialized dental treatment that goes beyond a regular cleaning. During this procedure, your hygienist gently removes plaque, tartar, and bacteria from beneath the gums (scaling) and smooths the root surfaces (root planing) to help the gums reattach and heal. This process helps stop gum disease from progressing and protects your teeth from potential bone loss.

Do I Need a Deep Cleaning?

You may need a deep cleaning if you’re experiencing:

  • Bleeding or swollen gums
  • Persistent bad breath
  • Gum recession (teeth appearing longer)
  • Loose teeth or discomfort when chewing
  • Deep pockets between the teeth and gums (found during your dental exam)

Our hygienists use advanced diagnostic tools and gentle techniques to make your SRP treatment as comfortable and effective as possible. Depending on your needs, treatment may be completed in one or more visits, sometimes with local anesthetic for added comfort.

Why Deep Cleanings Matter

Scaling and root planing not only improve gum health but also help reduce inflammation throughout your body. Treating gum disease early can prevent more serious dental problems and help preserve your natural teeth for years to come.

At Grand Avenue Family Dental, we’re committed to restoring your oral health with compassionate, thorough care. Our team will also provide personalized home care instructions to help keep your gums healthy after treatment.

If you’ve noticed bleeding gums or haven’t had a dental cleaning in a while, schedule your periodontal evaluation today at Grand Avenue Family Dental in Surprise, AZ. Healthy gums are the foundation of a healthy smile! Schedule your Appointment today — and take the first step toward the smile you’ve always wanted! Call or text (623) 374-3102 or send us an email. In a short conversation and consultation, we can answer all of your questions about how we can help you start feeling great about your smile. you’ve noticed bleeding gums or haven’t had a dental cleaning in a while, schedule your periodontal evaluation today at Grand Avenue Family Dental in Surprise, AZ. Healthy gums are the foundation of a healthy smile!